Researchers characterized the structure of Mdn1, an enzyme key to making ribosomes.

Maimon, who studies cognition and decision-making, and Marraffini, who studies the bacterial defense system CRISPR-Cas, are among 19 scientists nationwide to receive this designation.

Scientists have discovered a curious way for cells to die. In studying it, they are learning about how remnants of diseased cells are normally chewed up and removed.

The gateway to cellular headquarters has 552 components. A new map that shows how all these pieces fit together could help scientists study numerous diseases.

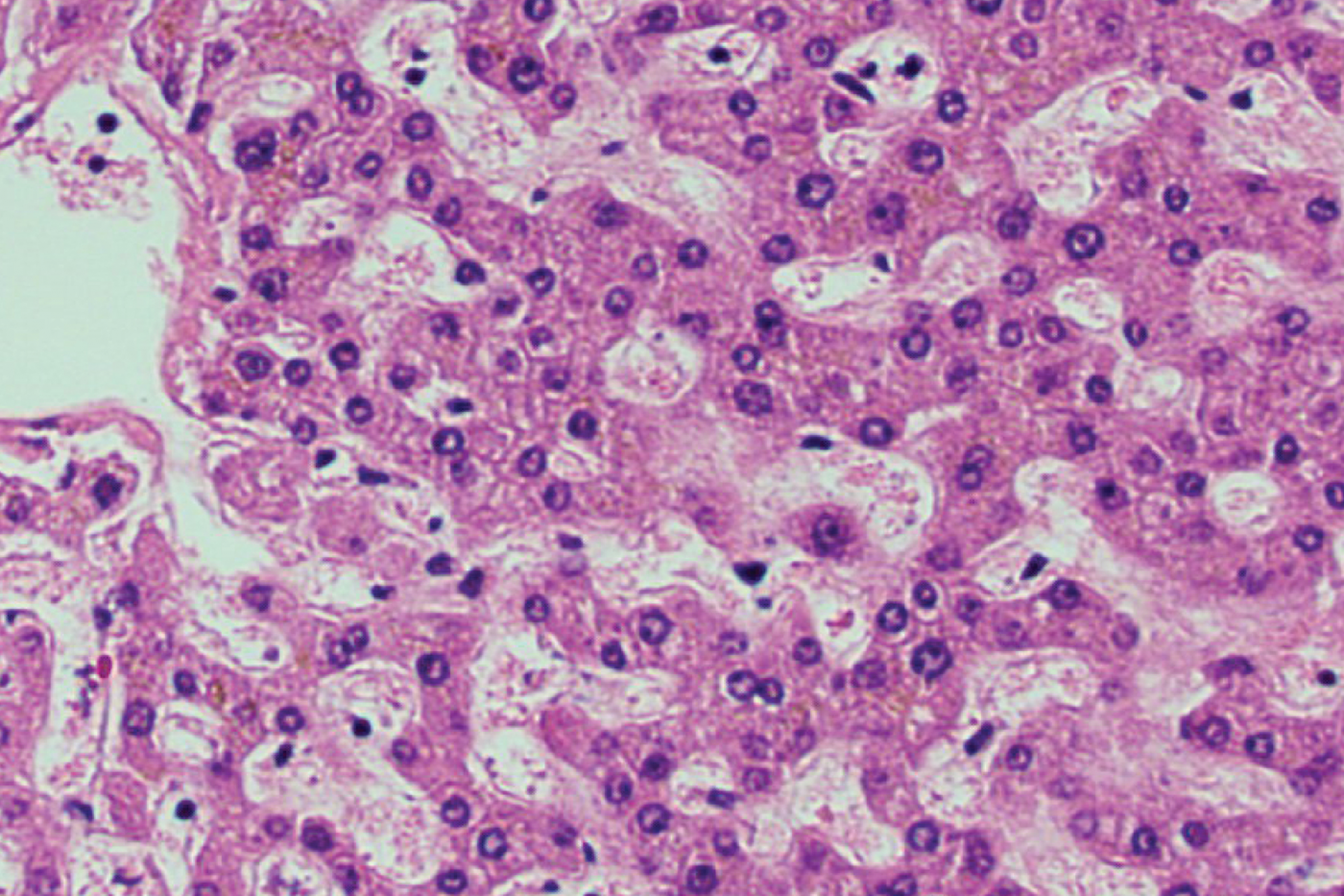
A new report details three cases of secondary brain tumors in people with fibrolamellar hepatocellular carcinoma. The researchers say imaging tests could improve treatment for patients whose cancer spreads to the brain from the liver.

New research has helped explain what goes wrong in Aicardi-Goutières syndrome, a rare brain disorder. Patients with the disease have genetic abnormalities that may put their cells at risk of accidentally triggering an antiviral response.

Günter Blobel, a Nobel Prize-winning Rockefeller biologist who discovered the mechanisms by which proteins are targeted for delivery to specific locations within cells, died February 18 at 81.

After figuring out the functions of two proteins involved in the rare genetic condition ICF, scientists pieced together the molecular process that is altered in the disease.

Researchers discovered how apoptosis keeps potential cancer-causing mutations in check.

With new imaging methods, scientists hope to make significant progress in the fight against obesity. A new report reveals striking images of neural projections within fat tissue, and clues for the development of new drugs.