To fight off invading viruses, bacteria have evolved a slew of creative defense tactics. New research shows that in some cases, microbes go to great lengths to keep an infection from spreading, even destroying bits of their own genetic material.

In autoimmune disorders, the body’s defense system erroneously attacks normal cells, leading to serious health problems. Researchers have developed new molecules that potentially could be used to treat many of these conditions.

Scientists have discovered a curious phenomenon taking place in mouse skin: cells compete with one another for the chance to develop into mature tissue. The findings indicate that this antagonism is key to creating healthy skin.

Studying microscopic worms, Rockefeller scientists have identified a brain circuit that drives repetitive behavior—providing potential clues for understanding some human psychiatric conditions.

In many cancer patients who have been treated with immunotherapy, the tumor comes back. New research identifies the cells responsible for thwarting the treatment and offers new insights into how they do it.

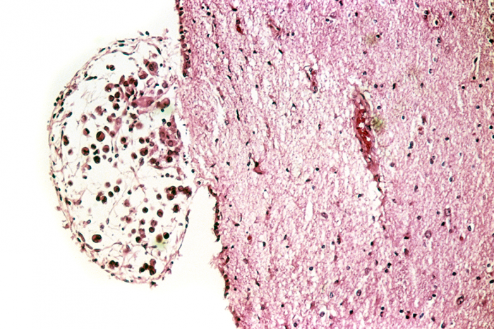
Recent research has shown that a drug known as MI-2 can kill cells that cause a fatal brain cancer. But only now have scientists been able to explain how the compound works: by targeting cholesterol production in tumors.

Researchers have discovered a new compound that helps fortify the intestine's inner lining, which becomes porous in inflammatory bowel diseases.  

Some cancers have been traced to changes in histones, proteins responsible for packaging DNA and regulating genes. Now, research from Rockefeller scientists shows that, among tumors, mutations to these proteins are a lot more common than previously suspected.

Scientists discovered a protein that plays a crucial role in regulating fatty acids, the molecules that make up body fat. This research could lead to new options for treating people with diseases associated with fatty acid buildup.

Researchers have identified a rare type of cancer cell that cannot make cholesterol, a key nutrient. By targeting this deficiency, scientists may be able to develop new strategies for treating the disease.